И это не единственный случай!
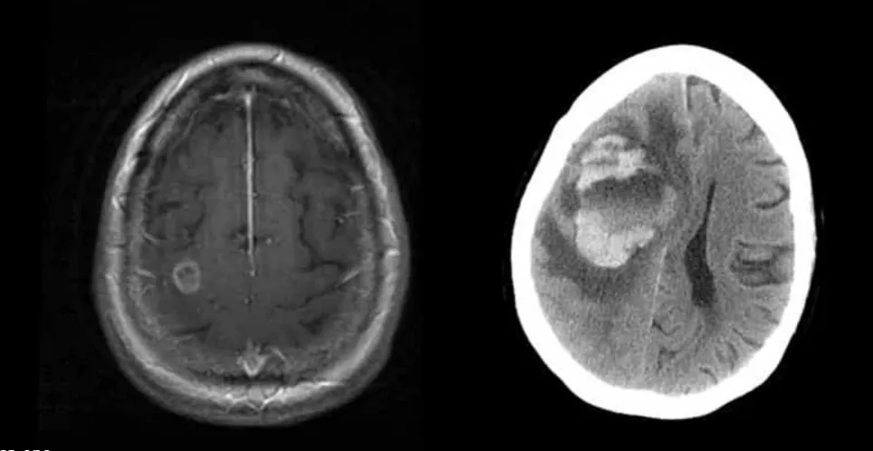
69-летняя женщина из Сиэтла была госпитализирована в отделение неотложной помощи больницы с приступом, похожим на инсульт, пишет The Seattle Times. Врачи провели компьютерную томографию ее мозга, пытаясь определить причину, предполагая наличие опухоли.
Но исследование ткани, взятой из ее мозга во время операции, показало, что причина не в опухоли.
«Когда я оперировал эту даму, часть ее мозга размером с мяч для гольфа оказалась кровавой кашей», — сказал д-р Чарльз Коббс, нейрохирург. «В ее мозге мы обнаружили микроорганизмы, которые пожирали клетки мозга. Когда мы сделали анализ, оказалось, что это были амебы».

Женщина заболела гранулематозным амебным энцефалитом после того, как прополоскала нос водопроводной водой. К сожалению, спасти ее не удалось.
В 1990 году исследователи впервые осознали, что этот тип амебы может вызвать заболевание у людей, согласно исследованию, опубликованному в журнале «Клинические инфекционные заболевания» в ноябре. В этом отчете было перечислено 109 случаев амебиаза, зарегистрированных в США в период с 1974 по 2016 год. Девяносто процентов этих случаев были смертельными.
«Я думаю, что мы увидим на севере гораздо больше инфекций, которые ранее наблюдали только на юге, поскольку происходит потепление окружающей среды».
Амебы — это одноклеточные организмы, некоторые из которых могут вызывать опасные заболевания. Но люди не могут заразиться, просто глотая воду, загрязненную амебами.

После заражения амебами у женщины появилась красная болячка в носу. Примерно через год ее неправильно диагностировали как розацеа, говорится в исследовании. Коббс сказал, что это, вероятно, первый симптом амебы, но его редкость затрудняет оперативную диагностику.
По словам доктора Дженнифер Коуп, эпидемиолога с подразделением Центра по контролю и профилактике заболеваний, основное внимание уделяется трем типам амеб, вызывающих фатальные инфекции головного мозга. Хотя инфекции остаются редкими, женщина из Сиэтла умерла от наименее известных из них: Balamuthia mandrillaris.

Это тип амебы, который распространяется медленнее. Потребуются недели или месяцы до того, как они вызовут смерть. Другая амеба медленного действия называется Acanthamoeba spp.
Самая неизученная — это Naegleria fowleri, потому что она действует быстро, вызывая инфекцию, которая приводит к смерти всего за несколько дней. Амебные инфекции вполне излечимы, но у ученых нет механизма введения лекарств в наш мозг.
Вот вам и одноклеточное!